Tender Advertisement and Bidding Documents for the Purchase of Drugs/Medicines, Medical Devices & Surgical Disposables Items through framework contract for the F.Y. 2026-27
Advertisement for the Walk in Registration of New Vendors for Local Purchase on Day to Day (LPDD) for CPEIC Multan
Services

128-SLICE CT SCAN
The institution provides high quality images by using a 128-slice CT system, which makes exam time shorter and accurate

CARDIAC CATH
Cardiac catheterization (heart cath) is the insertion of a catheter into a chamber or vessel of the heart.

CARDIAC CLINIC
The Section of Cardiology provides comprehensive diagnostic and therapeutic services to patients with cardiovascular diseases.

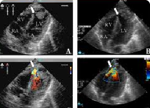
ECHOCARDIOGRAPHY
Echocardiogram, or simply echo, is a sonogram of the heart. Echocardiography uses standard two-dimensional, three-dimensional

ECG
The electrocardiogram (ECG or EKG) is a diagnostic tool that is routinely used to assess the electrical and muscular functions of the heart.